Плодный период. Нормальное развитие Желез Внутренней Секреции

9.5 недель 6

СТРУКТУРА. ФОРМООБРАЗОВАНИЕ У ЧЕЛОВЕКА

Гипофиз

    Гипофиз значительно увеличивается в размере. От кармана Ратке остается лишь широкая полость, которая отделяет переднюю стенку от задней (остаточная), которая сохраняется в гипофизе до конца внутриутробной жизни. Задняя стенка этой полости, сращенная с нейрогипофизом, утолщается и дает начало промежуточной доле (pars intermedia). На остальном протяжении стенки кармана Ратке становятся неразличимыми, так как они вошли в тесное соприкосновение друг с другом и образовали ряд широких эпителиальных тяжей, которые изгибаются и аностомозируют между собой. Широкие промежутки между эпителиальными тяжами заняты молодой, богатой клетками соединительной тканью, в которой уже видны тонкие коллагеновые волокна.


   Горизонтальный разрез гипофиза. Плод длиной 48 мм.
    1 - задняя доля; 2 - задняя стенка турецкого седла; 3 - остаточная полость гипофиза; 4 - передняя доля; 5 - передняя стенка турецкого седла; 6 - промежуточная доля.


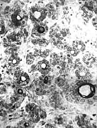
Щитовидная железа




   Коллоид, дающий PAS-положительную реакцию (черный), в фолликулах щитовидной железы. Плод длиной 49 мм.


    Вначале зачаток щитовидной железы состоит из эпителиальных тяжей, которые ветвятся и анастомозируют между собой. В течение 3-го месяца по ходу эпителиальных тяжей образуются перетяжки, придающие им четкообразный вид. Одновременно с этим в центре каждого сегмента, ограниченного двумя соседними перетяжками, появляются просветы. Перетяжки затем углубляются, и эпителиальные тяжи распадаются на отдельные пузырьки, или фолликулы. Образование фолликулов обычно начинается на периферии зачатка щитовидной железы, в то время как в центральных его частях еще долгое время сохраняются тяжи и плоные массы эпиетелиальных клеток.

ФУНКЦИОНАЛЬНАЯ СПОСОБНОСТЬ

ГЕНЕТИЧЕСКИЙ КОНТРОЛЬ

ЖИВОТНЫЕ МОДЕЛИ